کشف مکانیسم عجیبی در بدن؛ سلولها برای جوان شدن «استفراغ» میکنند!
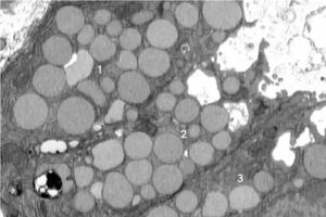
یک مطالعه جدید نشان میدهد که سلولها برای التیام و جوان شدن دوباره، مواد زائد درون خود را استفراغ میکنند. محققان یک فرآیند سلولی احیاکننده جدید به نام کاتارتوسیتوز(cathartocytosis) را شناسایی کردند که در آن سلولها برای التیام خود «استفراغ» میکنند. به نقل از آیای، محققان یک فرآیند سلولی جدید را شناسایی کردهاند که با تبدیل شدن به سلولهای بنیادی به سلولهای آسیبدیده کمک میکند تا التیام یابند.
به گزارش سهندخبر به نقل از خبرفوری،
یک مطالعه جدید نشان میدهد که سلولها برای التیام و جوان شدن دوباره، مواد زائد درون خود را استفراغ میکنند.
محققان یک فرآیند سلولی احیاکننده جدید به نام کاتارتوسیتوز(cathartocytosis) را شناسایی کردند که در آن سلولها برای التیام خود «استفراغ» میکنند.
به نقل از آیای، محققان یک فرآیند سلولی جدید را شناسایی کردهاند که با تبدیل شدن به سلولهای بنیادی به سلولهای آسیبدیده کمک میکند تا التیام یابند.


