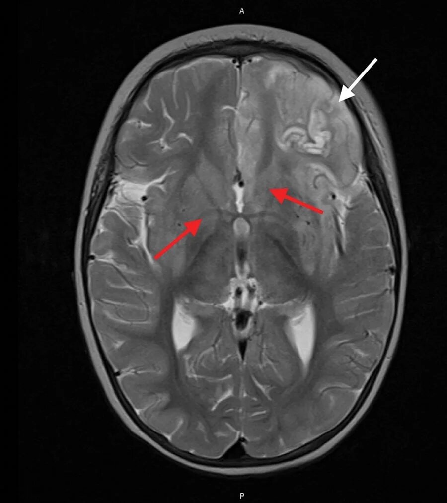
یک ویروس «بیضرر» متهم ایجاد پارکینسون
یک بررسی جدید شواهدی از وجود پک ویروس انسانی در مغز افراد مبتلا به بیماری پارکینسون پیدا کرده است، اما در مغز افراد بدون این بیماری عصبی چنین شواهدی وجود ندارد.

یا ورود با ایمیل
به لیست مشترکین ما بپیوندید تا آخرین اخبار، به روز رسانی ها و پیشنهادات ویژه را مستقیماً در صندوق پستی خود دریافت کنید
۱۴۰۲/۰۳/۲۵ ۱۴۰۲/۰۳/۲۵ 505203
۱۴۰۲/۰۳/۲۴ ۱۴۰۲/۰۳/۲۴ 500069
۱۴۰۲/۰۳/۲۴ ۱۴۰۲/۰۳/۲۴ 504127
۱۴۰۲/۰۳/۲۴ ۱۴۰۲/۰۳/۲۴ 498194
۱۴۰۲/۰۳/۲۴ ۱۴۰۲/۰۳/۲۴ 498969
۱۴۰۲/۰۳/۲۴ ۱۴۰۲/۰۳/۲۴ 501344
همه نتایج نظرسنجی: 42
عالی