علم و فناوری

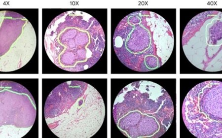
میکروسکوپ جدید با قابلیت شناسایی دقیق‌تر سرطان

گوگل یک «میکروسکوپ واقعیت افزوده» ساخته که از هوش مصنوعی برای شناسایی دقیق سلول‌...

دو راه‌حل موثر نخبگان برای حل مشکل آلودگی هوا و کم‌آبی

دبیر ستاد توسعه اقتصاد دانش‌بنیان آب، اقلیم و محیط زیست، مبارزه با آلودگی هوا را...

روشی ساده در بهبود تمرکز و حافظه

گوش کردن به موسیقی و نوشیدن قهوه می‌تواند موجب بهتر کار کردن مغز ما شود، به‌خصوص...

ناسا به جست‌وجوی یوفوها می‌پیوندد

گزارش‌ها در مورد پدیده‌های ناشناخته مدت‌ها است که عموم مردم را مجذوب خود کرده‌ و...

تلسکوپ قدرتمند چین برای شکار زیبایی‌های کهکشان

تلسکوپ دید گسترده چین که قادر است کل آسمان را از نیمکره شمالی بررسی کند، پس از ی...

آیا تلفن‌های هوشمند سلامت روان ما را هدف گرفته‌اند؟

تحقیقات نشان می‌دهد که استفاده از تلفن‌های هوشمند به همه‌گیری ضعف سلامت روان در ...

جراحی که از واقعیت مجازی برای درمان شکستگی استفاده می‌کند

یک جراح تروما از فناوری واقعیت مجازی(VR) برای درمان استخوان‌های شکسته استفاده می...

استفاده از محصولات اپل در شش کشور دنیا ممنوع است

عدم رعایت مقررات کشورها توسط اپل، فروش و واردات محصولات این شرکت به چند کشور را ...

امسال گرم‌ترین تابستان را داشتیم

ناسا تایید کرده است که تابستان سال ۲۰۲۳ گرم‌ترین تابستان زمین از سال ۱۸۸۰ تاکنون...

دانه‌بندی برنج و بادام بر اساس پردازش تصویر

محققان یکی از شرکت‌های دانش‌بنیان دستگاهی را برای سورتینگ محصولاتی چون برنج و با...

از نسل‌های جدید وای فای چه می‌دانید؟

نسل ششم وای فای از جمله تکنولوژی‌های جدید در حوزه اینترنت است که در یک تعریف ساد...

شخصیت شناسی از روی رنگ لباس

به عقیده طراحان لباس و صاحب نظران صنعت مد، مطالعات تجربی نشان می‌دهد که علاقه به...

۹۹درصد مردم در کره جنوبی از پیام‌رسان داخلی استفاده می‌...

طبق گزارش statist در کره‌جنوبی ۹۹درصد مردم از پیامرسان بومی استفاده می‌کنند و هش...

تولید ظروف یکبار مصرف دوستدار محیط زیست با پلیمرهای گیاهی

متخصصان یک شرکت دانش‌بنیان با تولید فرآورده‌های گیاهی با خاصیت پلاستیک، گامی در ...

دلیل کندی اینترنت در روزهای اخیر چه بود؟

علت کاهش سرعت اینترنت در نیمه‌شب از زبان وزیر ارتباطات، اتصال بیش از ۷۷۰ روستای ...

ویژگی هایی که نشان میدند افراد چقدر مسئولیت پذیرند

برخورداری از حس مسئولیت‌پذیری در زندگی و کار، از موهبت‌هایی است که بسیاری از آن ...